3922 148th St SE Ste 201

Mill Creek, WA 98012-4752

(425) 337-7300

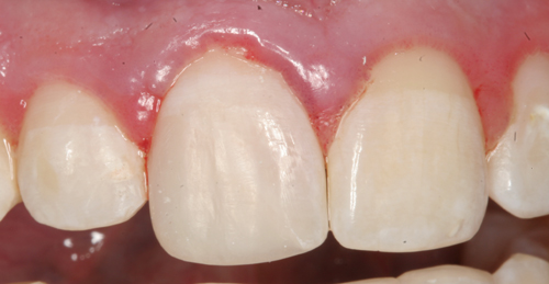
Anterior Composite Case 1

Brent

Direct Composite Bonding

before after

Brent had an unfortunate bike accident. He presented to our office with a fractured anterior tooth. Brent's tooth was restored with chairside resin composite. The anterior composite restoration is a much more conservative choice when considering the other restorative options such as porcelain crown or veneer.


back to main gallery